2258 Foothill Blvd. Suite 800,
La Canada Flintridge, CA 91011
(818) 236-3636
Request Appointment
Patient
Forms
Leave a
Review
Tap for Menu
Home
About
Us
Meet
the
Doctors
Meet
the
Team
Why
Choose
Us?
ABO
Certification
New
Patients
Office
Visits
Financial
Information
Office
Tour
Patient
Forms
Testimonials
About
Orthodontics
About
Orthodontics
Early
Orthodontic
Treatment
For
All
Ages
Types
of
Braces
Types
of
Appliances
iTero®
Digital
Impressions
Surgical
Orthodontics
Orthodontic
Retention
Life
with
Braces
Separators
Parts
of
Braces
Eating
with
Braces
Playing
Sports
with
Braces
Brushing
and
Flossing
TADs
Palatal
Expander
Retainer
Care
Emergency
Care
How
To
Handle
General
Soreness
How
To
Use
The
Wax?
Loose
Appliance,
Bracket
or
Wire
Use
of
Headgear
Before/After
Invisalign®
Invisalign®
Info
Invisalign
Teen®
Info
Invisalign®
Costs
Invisalign®
FAQs
Invisalign®
Videos
Contact
Office
Location
Appointment
Request
Refer
a
Friend
Before/After
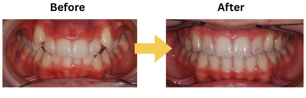
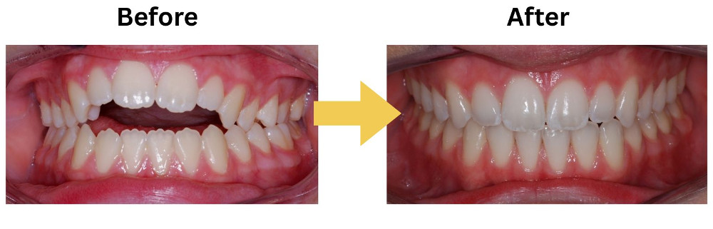
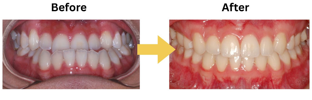
See the beautiful smile transformations by Dr. Charles C. Low and Dr. Kimberlin A. Low.
2258 Foothill Blvd
Suite 800
La Canada Flintridge, CA 91011
(818) 236-3636
Fax (818) 236-4843
Back to Top
Website Powered by Sesame 24-7™
|
Site Map